Smile Gallery

The image shows a close-up of a person s teeth with a focus on a yellowish stain, possibly indicating the need for dental care.

Before

The image shows a close-up of a person s smiling face, focusing on their teeth and lips.

After

The image shows a close-up of a person s teeth with a focus on the lower front teeth, which appear to be yellowed and possibly in need of dental care.

Before

An image of a person s teeth, showing yellowing and discoloration.

After

A man s smiling face with a missing tooth, showcasing dental imperfections.

Before

The image shows a close-up of a person s mouth with white teeth, smiling, and wearing lipstick.

After

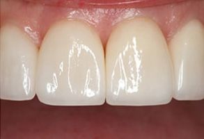
The image shows a close-up of a person s teeth with a focus on the upper front teeth, which are prominently displayed.

Before

The image displays a close-up of a person s teeth, showcasing a bright, white smile with a focus on the dental work and cleanliness.

After

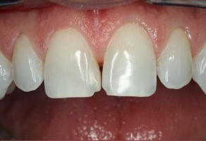
The image shows a close-up of a person s teeth with yellowing and staining, indicating poor oral hygiene or dental issues.

Before

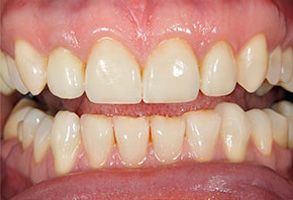
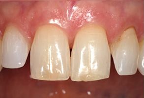
The image shows a close-up of a person s teeth with a focus on the upper front teeth, which appear to be in need of dental care due to their discoloration and possible decay.

After

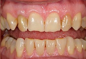
The image shows a close-up of a person s teeth with visible yellow stains, likely for dental care or cosmetic purposes.

Before

The image shows a close-up of a person s teeth with white fillings and gums, highlighting the dental work.

After

A close-up image of a person s teeth with visible staining and yellowing, showcasing dental decay.

Before

The image displays a close-up of a person s teeth, showcasing the upper front teeth with a focus on their condition and appearance.

After

Schedule a visit today!